Jméno lékaře, pracoviště: MUDr. Tomáš Douda, Ph. D, 2. interní gastroenterologická klinika FNHK
Anamnéza:
Pacientka *1977 bez vážných komorbidit
2004 diagnóza Crohnovy choroby s dominantní postižením pravého tračníku
2004-2013 sledována v ambulantním zdravotnickém zařízení mimo FN. Od r. 2008 užívala v rámci klinické studie anti TNF preparát certolizumab pegol. Trvale užívala azathioprin 150 mg/d (2 mg/kg) a systémovou kortikoterapii, salazopyrin 3 g/d a kombinovaný preparát vitaminu D a kalcia
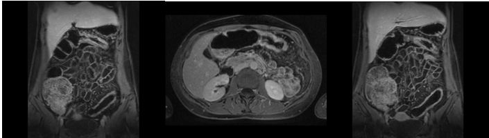
2013/7 byla referována na naše lůžkové oddělení pro relaps onemocnění - 10 řídkých stolic denně včetně nočních, křečovité bolesti břicha, subferbrilie. Před přijetím měla provedenou MR enterografii se známkami aktivity v rozsahu colon transversum, descendens a sigmoideum bez postižení tenkého střeva
MR 2013/6 MR obraz zánětu v rozsahu c. transversum, descendens a sigma, s opacifikací stěny po aplikaci KL, tzn. se známkami aktivity.
Během pobytu byla pacientka uvedena do klinické remise exklusivní enterální výživou při pokračováním podávání metronidazolu a systémové kortikoterapie s plánem nasazení standardní anti TNF léčby infliximabem nebo adalimumabem po vyřešení administrativních problémů. Během pobytu byla provedena koloskopie s obrazem těžké, segmentální pankolitidy. Z důvodu kolonického postižení podáván mesalazin (v dávce 3,2g/d) a p.o. substituce železem.
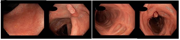
Koloskopie 2013/7: Endoskopický obraz těžké, segmentální pankolitidy. Plazivé ulcerace rekta, sigmoidea a descendens. Drobné afty c. transversum a céka. Normální nález v terminálním ileu
2013/9 zahájeno podávání adalimumabu v indukční s.c. dávce 160–80 mg s následnou pravidelnou subkutánní aplikací adalimumabu 40 mg s.c. každé 2. týdny.
2013/10 ukončena enterální výživa, postupně vysazeny kortikoidy. Trvala klinická remise (stolice 1-2x denně, bez bolesti břicha)
2014 klinická remise ukončena p.o. substituce železem
Koloskopie 2014: Endoskopický obraz mírné segmentální pankolitidy (aftózní léze, nálety fibrinu, reziduální drobné ulcerace po původně serpiginózních vředech). Nápadné pozánětlivé změny (jizvy, polypy), retrakce zejména v levém tračníku. Normální terminální ileum
2015/6 referována gravidita, adalimumab podáván do konce2. trimestru
2015/12 fyziologický porod zdravé holčičky
2016/4 Klinicky mírná aktivita (stolice 3-4xd, intermitentně příměs hlenu). Reindukce adalimumabu s efektem
Koloskopie 2017/2: Aktivní zánětlivé změny (serpiginózní ulcerace) v oblasti rektosigmatu, mírné zánětlivé změny v blízkosti hepatálního ohbí, segmentálně pozánětlivé změny zejména v levém tračníku (jizvy, retrakce). Normální terminální ileum
Histologie: Mikroskopický nález je kompatibilní s klinickou diagnózou idiopatického střevního zánětu, resp. Crohnovy choroby, přičemž je patrna aktivita onemocnění. Dysplastické změny neprokázány
2017/3 klinická aktivita, koloskopicky aktivní zánět v levém tračníku – přidány topické steroidy, intenzifikováno podávání adalimumabu (40 mg s.c. á 1 týden)
2018/5 trvající mírná klinická aktivita, nově nežádoucí kožní projevy v obličeji charakteru psoriázy. Swap na ustekinumab – vstupně 390 mg s.c., následně 90 mg s.c. á 8 týdnů
Koloskopie 2018/8: Mírné floridní zánětlivé změny (ložiskové zarudnutí a setřelá podslizniční cévní kresba, aftoidní léze) v blízkosti hepatálního ohbí v colon ascendens a v sigmatu. Pozánětlivé změny (jizvy po serpiginózních ulcerací v příčném a levém tračníku, vlevo i pozánětlivá trabekulizace. Normální terminální ileum.
Histologie: Mikroskopický nález je kompatibilní s klinickou diagnózou idiopatického střevního zánětu, resp. Crohnovy choroby, přičemž je patrna aktivita onemocnění. Dysplastické změny neprokázány.
2018/12 absence kožních projevů. Klinicky uspokojivý stav, laboratorně trvající aktivita (elevace fekálního kalprotektinu
2019 gravidita, nekomplikovaný průběh při trvalé aplikace ustekinumabu
2019/12 fyziologický porod, normální poporodní vývoj zdravého chlapce
2020/3 relaps onemocnění – podány systémové kortikoidy, intenzifikováno podávání ustekinumabu na 90 mg s.c. á 4 týdny
2020/5 klinická odpověď, ale nedosaženo remise bez kortikoidů. TDM nízké hladiny UST bez protilátek. UST hladina 0.9 (norma více 4.5 ug/ml), anti UST 1.5 (norma pod3 AU/ml). Swap na vedolizumab
2020/8 klinická remise bez systémových kortikoidů. Nadále kojí
2022/1 změna na s.c. podávání vedolizumabu 108 mg á 14 dní
2022 klinická, laboratorní i endoskopická remise. Vysazen mesalazin
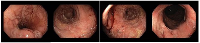
Koloskopie 2022/2: Pozánětlivé změny celého tračníku (jizvy), v rektosigmatu je reziduální ulcerace v centru serpiginózní ulcerace – bez makroskopických známek aktivity v tračníku i terminálním ileu. Vyšetření v bílém světle i NBI
Histologie: Chronické a fokálně výrazně aktivní zánětlivé změny v materiálu číslo IV., kde nález připouští diagnózu idiopatického střevního zánětu charakteru Crohnovy choroby s aktivitou
2025 trvá klinická i laboratorní remise
Vývoj hodnoty CRP v čase:
Vývoj hodnoty fekálního kalprotektinu v čase:
Závěr
Popis případu dokumentuje dlouhodobou efektivní léčbu pacientky s crohnovskou kolitidou monoterapií vedolizumabem. Přestože se jedná o 4. linii léčby (2x anti TNF preparát, ustekinumab) původně velmi těžkého zánětu (plazivé ulcerace v rozsáhlých úsecích tračníku) bylo dosaženo klinické, laboratorní i endoskopické remise, která trvá již více než 5 let, nejsou patrné žádné nežádoucí účinky.
Datum přípravy: 01/2026 C-APROM/CZ/ENTCD/0104