Jméno lékaře, pracoviště:
MUDr. Štefan Konečný, Interní gastroenterologická klinika, Fakultní nemocnice Brno
Popis případu:
Tato kazuistika se zabývá případem mladého muže, nyní ve věku 27 let, u kterého byla v roce 2019 diagnostikována Crohnova nemoc. Primárně byl léčen v té době doporučovanými aminosalicyláty a později azathioprinem, na kterém došlo v únoru 2023 k relapsu onemocnění s multisegmentálním postižením s prestenotickými dilatacemi a zánětlivým pseudotumorem (dle CT vyšetření břicha), které vyžadovalo zavedení enterální výživy a biologické terapie. Pacient byl k další léčbě přeložen na naše pracoviště. V první linii byla použita anti-TNFα terapie infliximabem, na které došlo k postupné úplné regresi aktivity a normalizaci fekálního kalprotektinu. Vzhledem k nutnosti rozsáhle resekce střevních kliček při chirurgickém výkonu s rizikem následného rozvoje syndromu krátkého střeva byl nadále indikován konzervativní postup, pacient byl ale plně realimentován bez pasážovacích potíží.
V záři 2024 při pravidelné kontrole pacient udával mírné zhoršení potíží, FC byl 205 ug/g. Byl doplněn TDM, kde byla prokázána pozitivita protilátek proti infliximabu, tedy byla indikována změna biologické léčby. Jako o další variantě terapie jsme uvažovali o změně léčby na vedolizumab a vzhledem k dobrým laboratorním parametrům (albumin 40 g/l, CRP 6 mg/l), absenci předchozího operačního výkonu a nepřítomnosti fistulujícího onemocnění bylo pomocí clinical decision support tool (CDST) vypočítáno skóre > 19, tedy vysoká pravděpodobnost účinnosti vedolizumabu a v dalším kroku bylo přistoupeno k zahájení léčby ve standardním dávkování 300 mg i.v. á 8 týdnů na kterém je pacient doposud bez jakýchkoliv známek relapsu či zhoršení onemocnění.
Závěrem lze říct, že CDST nám může pomoci při volbě správné terapie i u pacientů s těžkým a komplikovaným průběhem Crohnovy nemoci, u kterých bychom možná o použití vedolizumabu ani neuvažovali.
CDST:
Předchozí operace střev: ne
Předchozí léčba anti-TNF: ano
Předchozí fistulace: ne
Hladina albuminu: 40 g/l
Hladina CRP: 6 mg/l
Hodnota CDST: 19,5
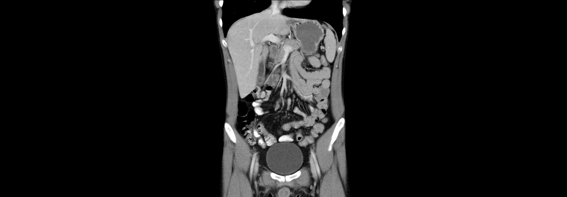
Zobrazovací metody:
 
CT břicha ze dne 28.02.2023
 
MR enterografie ze dne 03.08.2023 - T2 vážený obraz s potlačením tuku
Klinika radiologie a nukleární medicíny FN Brno
Reference:
1. Dulai PS, Wan Y, Huang Z, Luo M. Probability of Response as Defined by a Clinical Decision Support Tool Is Associated With Lower Healthcare Resource Utilization in Vedolizumab-Treated Patients With Crohn's Disease. Crohns Colitis 360. 2022 Dec 3;4(4):otac048. doi: 10.1093/crocol/otac048.
2. Dulai PS, Boland BS, Singh S, et. al. Development and Validation of a Scoring System to Predict Outcomes of Vedolizumab Treatment in Patients With Crohn's Disease. Gastroenterology. 2018 Sep;155(3):687-695.e10. doi: 10.1053/j.gastro.2018.05.039
Datum přípravy: 09/2025 C-APROM/CZ/ENTCD/0093
