Dlouhodobá efektivní monoterapie vedolizumabem Crohnovské kolitidy

Jméno lékaře, pracoviště: 

MUDr. Tomáš Douda, Ph. D , 2. interní GE klinika FN Hradec Králové

2001 první projevy onemocnění, vstupně zaléčena kortikoidy, užívala přechodně mesalazin

2006 - 2008 bez medikace

2009 relaps onemocnění, zaléčena kortikoidy

2010 zahájeno podávání azathioprinu pro kortikodependenci

2011 zahájeno sledování na našem pracovišti. Potvrzena diagnóza Crohnovy choroby postihující tračník, ASCA IgG 47

Klinicky i endoskopicky měla trvalou aktivitu:

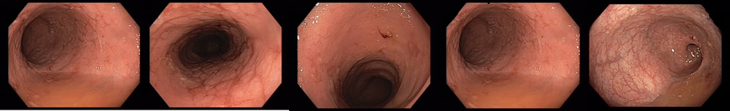
Koloskopie 2012/2: Endoskopický obraz Crohnovské pankolitidy, středně těžké až těžké (více je postižen P tračník), normální terminální ileum

 

2012/6 zahájena léčba adalimumabem s klinickým efektem 

2012/10 Endoskopický obraz mírné segmentální kolitidy charakteru Crohnovy choroby (rozsah postižení je 10-20 % tračníku) - podstatné zlepšení proti předchozímu nálezu, ke slizničnímu zhojení nedošlo

Klinicky byla pacientka v remisi. Pro recidivující genitální infekce a herpetické infekce vysazen azathioprin

2013/4 relaps onemocnění v návaznosti na probíhající chřipku typu B

Koloskopie: Endoskopický obraz těžké segmentální kolitidy 

2013/6 pro trvající chronickou aktivitu intenzifikována léčba adalimumabem (40 mg s.c. á 1 týden)

2013/11 trvající aktivita 

2013/11 endoskopický obraz těžké pankolitidy charakteru Crohnovy choroby   - obraz cobble stones relativně je ušetřeno rektum, kde je ložiskově patrná   podslizniční cévní kresba

Změna léčby na infliximabu, návrat azathioprinu do medikace 

2014/02 klinický efekt léčby 

Koloskopie: Endoskopický kolitidy s ušetřením rekta, maximálním postižením v P tračníku – dle obrazové dokumentace zlepšení ve všech etážích tračníku   (i v P tračníku rozsah ulcerací snížen cca o 50%)

2016/03 porod císařským řezem, IFX vysazen v 3. trimestru

2016/06 relaps: kortikoidy + reindukce IFX s klinickým efektem

2017/8 relaps onemocnění s nutností hospitalizace

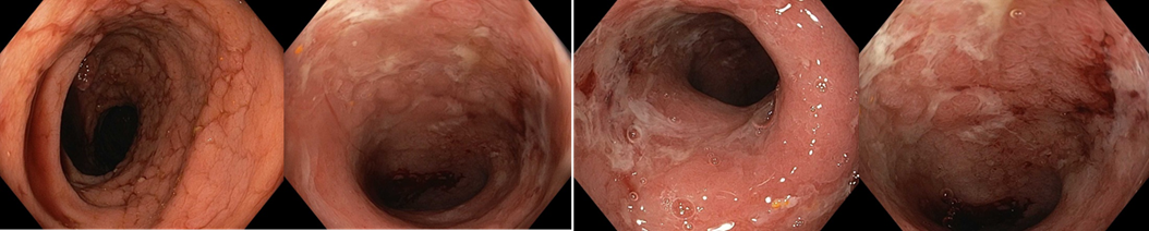
Koloskopie: edém, eroze, ulcerace, zánětlivé polypy v terénu po zánětlivých změn 

TDM: IFX 8,761µg/ml, anti IFX <5 AU/ml, CMV histologicky negativní

Léčen kortikoterapií a exklusivní enterální výživou. Azathioprin vysazen

2017/10 zahájena léčba vedolizumabem

Promptní klinická remise

018/2 Slizniční zhojení. Monoterapie vedolizumabem

2021/10 změna na s.c. podávání

2022/9 klinická, laboratorní i endoskopická remise

Slizniční zhojení 

Histologie: lehká porucha architektoniky krypt, může se jednat o pozánětlivé změny. Jiné histopatologické změny přítomny nejsou.  

Vývoj hodnoty fekálního kalprotektinu v čase v závislosti na podávané léčbě:

Vývoj hodnoty CRP v čase v závislosti na podávané léčbě:

Vývoj hodnoty Hb v čase v závislosti na podávané léčbě:

CDST:

  • Bez předchozí resekce střeva → +2

  • Předchozí anti-TNF: ano → 0 (protože +3 je jen při „no prior TNF“)

  • Bez předchozí fistulizace → +2

  • Albumin 41 g/L → +0,4×41 = +16,4

  • CRP 7,7 mg/L (3–10) → −0,5

  • Součet = 2 + 0 + 2 + 16,4 − 0,5 = 19,9 bodu.

Závěr

Popis případu dokumentuje dlouhodobou efektivní léčbu pacientky s crohnovskou kolitidou vedolizumabem. Úvodní anti TNF preparáty měly jen částečný a přechodný efekt. Terapie vedolizumabem umožnila slizniční i histologické zhojení a efekt léčby trvá již 8 let.

CDST (Clinical Decision Support Tool) pro vedolizumab u Crohnovy nemoci je skórovací systém, který má pomoci odhadnout pravděpodobnost dosažení klinické odpovědi/remise u pacientů na začátku léčby. Pokud retrospektivně spočítáme jeho hodnotu u konkrétní pacientky, pak vychází jako vysoká pravděpodobnost pozitivní odpovědi (≥ 19), což odpovídá klinické realitě.

Zdroje:

Dulai PS, Boland BS, Singh S, et al. Development and validation of a scoring system to predict outcomes of vedolizumab treatment in patients with Crohn's disease. Gastroenterology. 2018; 155: 687–695.e10.

Dulai PS, Amiot A, Peyrin-Biroulet L, etal; on Behalf of the GETAID OBSERV-IBD, VICTORY CohortsCollaboration*. A clinical decision support tool may help tooptimise vedolizumab therapy in Crohn’s disease. AlimentPharmacol Ther. 2020;51:553–56

 

Datum přípravy: 09/2025 C-APROM/CZ/ENTCD/0095